Reklama
REKLAMA
Automatycznie wyświetlimy artykuł za 10 sekund
Przejdź do artykułu
Reklama
Reklama

Implanty - piękny uśmiech, lepsze życie

A A A

Dodano: 11-05-2016

Dental Implant Academy Rzeszów

Dental Implant Academy Rzeszów

GALERIA ZDJĘĆ
Dental Implant Academy Rzeszów
Dental Implant Academy Rzeszów
Lekarz stomatologii Dariusz Srokowski. Dental Implant Academy Rzeszów
Dental Implant Academy Rzeszów
Estetyczny uśmiech to niezwykle ważny element naszego ogólnego wizerunku. Ładne zęby dodają pewności siebie i pomagają w nawiązywaniu relacji. Jednak tylko nielicznych natura obdarzyła nieskazitelnym uzębieniem. Według danych Ministerstwa Zdrowia, tylko 5,4 procenta Polaków ma pełne uzębienie, a odsetek pacjentów dotkniętych całkowitym bezzębiem stale rośnie.  W grupie wiekowej 65-74 lat wynosi aż 40%. Odpowiedzią na problem braków w uzębieniu jest leczenie implantologiczne. O jego zaletach i możliwościach, jakie oferuje, rozmawiamy z lekarzem stomatologiem Dariuszem Srokowskim, doświadczonym implantologiem.

Dla kogo przeznaczone jest leczenie implantologiczne?
 
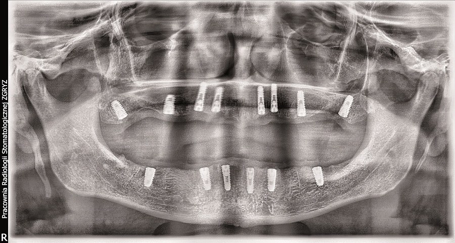
Dr Dariusz Srokowski: Implanty to rozwiązanie dla pacjentów mających braki w uzębieniu lub dotkniętych całkowitym bezzębiem, którzy spełniają określone warunki kostne. Decyzja o podjęciu i przebiegu leczenia zapada na podstawie wnikliwej analizy danych uzyskanych w badaniu pantomograficznym (zdjęcie panoramiczne) i tomograficznym (obrazowanie trójwymiarowe).
Reklama
 
Czy podejmując leczenie implantologiczne warto zachować swoje zęby?
 
Oczywiście, implanty i tradycyjna protetyka mogą się doskonale uzupełniać także przy pełnych rekonstrukcjach zgryzu. Zachowanie zębów, które są w dobrym stanie, pozwoli uzyskać lepsze rezultaty. Nie bez znaczenia jest też czynnik psychologiczny – pacjent, który nie traci wszystkich zębów, łatwiej zaakceptuje plan leczenia i zachowa lepsze samopoczucie.
 
A co, jeśli własnych zębów brak lub ich stan nie pozwala na ich zachowanie? Ile implantów potrzeba, aby uzupełnić całkowite bezzębie?
 
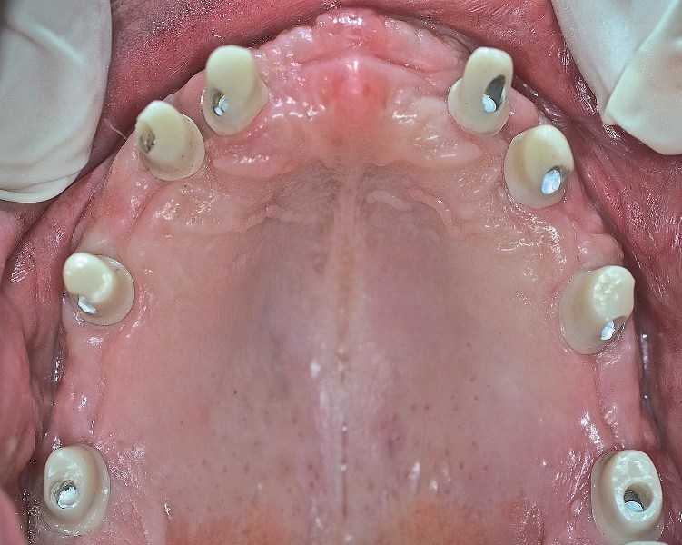
W mojej opinii, w naprawdę wyjątkowych przypadkach można umocować 12 zębów na stałe na 4 implantach. Warunki muszą być jednak bardzo sprzyjające. Aby wszczepić wystarczająco długie i szerokie implanty do utrzymania 12 zębów, kość musi być obfita. Bardziej realistyczną liczbą jest 5 do 8 implantów. Wówczas nie są one przeciążone, a siły zgryzu rozkładają się prawidłowo. Ostateczna ilość implantów przy pełnej rekonstrukcji to decyzja bardzo indywidualna i złożona. Składają się na nią  takie czynniki, jak jakość i ilość kości, tonacja mięśni twarzy, rozmiar szczęki i żuchwy pacjenta.
 
Jak przebiega rekonstrukcja całego uzębienia?
 
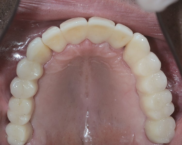
Pełna rekonstrukcja uzębienia jest jedną z najtrudniejszych procedur w stomatologii. Jeżeli odbudowa protetyczna uzębienia obejmuje także własne zęby pacjenta, to możemy wykorzystać korony, mosty i implanty występujące pojedynczo lub połączone w mosty. Pełną rekonstrukcję zaczynamy od wstępnej analizy jamy ustnej, modeli pacjenta stworzonych na podstawie wycisku, zdjęć rtg oraz tomografii. Na podstawie tych informacji wykonujemy projekt przyszłego uzębienia. Dalszy przebieg leczenia jest uzależniony od tego, jakie procedury należy wykonać, zanim możliwa będzie implantacja. Po wszczepieniu implantów następuje etap uzupełnień tymczasowych/próbnych, na podstawie których pacjent może ocenić estetykę i wygodę przyszłych uzupełnień stałych. Pacjent ma szansę zgłosić swoje uwagi do zaproponowanych uzupełnień stałych i uzyskać efekt końcowy, który go całkowicie ustatysfakcjonuje
Reklama
.
Implanty wydają się być rozwiązaniem dla wielu osób, borykających się z problemami z uzębieniem. Jednak często przeszkodą na drodze do pięknego uśmiechu okazują się pieniądze. Panuje powszechna opinia, że implanty to drogie rozwiązanie dla nielicznych. Czy według Pana to prawda?
 
Choć pojęcie kosztów jest względne i nie dla wszystkich pierwszorzędne, to faktycznie trzeba mieć świadomość, że implanty kosztują dość dużo. Jednak warto spojrzeć na ten rodzaj leczenia długofalowo. W porównaniu z innymi sposobami leczenia ten początkowo wysoki koszt może okazać się konkurencyjny, zwłaszcza jeśli uwzględnimy uzyskane efekty implantacji w postaci estetyki i długotrwałości uzębienia. Istotną zaletą implantacji jest także to, że nie narusza ona sąsiednich zębów, nie działa destrukcyjnie na stan posiadanego uzębienia naturalnego. Implanty wraz z wykonanymi na nich odbudowami protetycznymi znacząco poprawiają warunki zgryzowe pacjenta, co oznacza między innymi lepsze trawienie i eliminację problemów związanych z układem pokarmowym. Wreszcie, i tu wracamy do punktu wyjścia naszej rozmowy, uzyskany w wyniku leczenia estetyczny uśmiech przyczynia się do wzrostu pewności siebie, poprawy samopoczucia, zwalczenia kompleksów. Krótko mówiąc – implanty zmieniają życie na lepsze. 
 
Dental Implant Academy Rzeszów
 
ul. Księdza Jałowego 8/1, 35-010 Rzeszów
tel/fax 17 85 333 85, kom. 602 34 20 46, kom. 787 193 163
www.dentalimplantacademy.pl
 
Godziny i terminy wizyt umawiane są indywidualnie.
Reklama
Reklama

POLECANE

NAJCZĘŚCIEJ CZYTANE

RZESZÓW WEATHER
Reklama

NASI PARTNERZY

zamknij

Szanowny Czytelniku !

Zanim klikniesz „Zgadzam się” lub zamkniesz to okno, prosimy o przeczytanie tej informacji. Prosimy w niej o Twoją dobrowolną zgodę na przetwarzanie Twoich danych osobowych przez naszych partnerów biznesowych oraz przekazujemy informacje o tzw. cookies i o przetwarzaniu przez nas Twoich danych osobowych. Klikając „Zgadzam się” lub zamykając okno, zgadzasz się na poniższe. Możesz też odmówić zgody lub ograniczyć jej zakres.

Zgoda

Jeśli chcesz zgodzić się na przetwarzanie przez Zaufanych Partnerów Grupy SAGIER Twoich danych osobowych, które udostępniasz w historii przeglądania stron i aplikacji internetowych, w celach marketingowych (obejmujących zautomatyzowaną analizę Twojej aktywności na stronach internetowych i w aplikacjach w celu ustalenia Twoich potencjalnych zainteresowań dla dostosowania reklamy i oferty) w tym na umieszczanie znaczników internetowych (cookies itp.) na Twoich urządzeniach i odczytywanie takich znaczników, kliknij przycisk „Przejdź do serwisu” lub zamknij to okno.
Jeśli nie chcesz wyrazić zgody, kliknij „Nie teraz”. Wyrażenie zgody jest dobrowolne. Możesz edytować zakres zgody, w tym wycofać ją całkowicie, przechodząc na naszą stronę polityki prywatności. Powyższa zgoda dotyczy przetwarzania Twoich danych osobowych w celach marketingowych Zaufanych Partnerów. Zaufani Partnerzy to firmy z obszaru e-commerce i reklamodawcy oraz działające w ich imieniu domy mediowe i podobne organizacje, z którymi Grupa SAGIER współpracuje.
Podmioty z Grupy SAGIER w ramach udostępnianych przez siebie usług internetowych przetwarzają Twoje dane we własnych celach marketingowych w oparciu o prawnie uzasadniony, wspólny interes podmiotów Grupy SAGIER. Przetwarzanie takie nie wymaga dodatkowej zgody z Twojej strony, ale możesz mu się w każdej chwili sprzeciwić. O ile nie zdecydujesz inaczej, dokonując stosownych zmian ustawień w Twojej przeglądarce, podmioty z Grupy SAGIER będą również instalować na Twoich urządzeniach pliki cookies i podobne oraz odczytywać informacje z takich plików. Bliższe informacje o cookies znajdziesz w akapicie „Cookies” pod koniec tej informacji.

Administrator danych osobowych

Administratorami Twoich danych są podmioty z Grupy SAGIER czyli podmioty z grupy kapitałowej SAGIER, w której skład wchodzą Sagier Sp. z o.o. ul. Mieszka I 48/50, 35-303 Rzeszów oraz Podmioty Zależne. Ponadto, w świetle obowiązującego prawa, administratorami Twoich danych w ramach poszczególnych Usług mogą być również Zaufani Partnerzy, w tym klienci.
PODMIOTY ZALEŻNE:
http://www.biznesistyl.pl/
http://poradnikbudowlany.eu/
http://modnieizdrowo.pl/
http://www.sagier.pl/
Jeżeli wyrazisz zgodę, o którą wyżej prosimy, administratorami Twoich danych osobowych będą także nasi Zaufani Partnerzy. Listę Zaufanych Partnerów możesz sprawdzić w każdym momencie na stronie naszej polityki prywatności i tam też zmodyfikować lub cofnąć swoje zgody.

Podstawa i cel przetwarzania

Twoje dane przetwarzamy w następujących celach:
• 1. Jeśli zawieramy z Tobą umowę o realizację danej usługi (np. usługi zapewniającej Ci możliwość zapoznania się z jednym z naszych serwisów w oparciu o treść regulaminu tego serwisu), to możemy przetwarzać Twoje dane w zakresie niezbędnym do realizacji tej umowy.
• 2. Zapewnianie bezpieczeństwa usługi (np. sprawdzenie, czy do Twojego konta nie loguje się nieuprawniona osoba), dokonanie pomiarów statystycznych, ulepszanie naszych usług i dopasowanie ich do potrzeb i wygody użytkowników (np. personalizowanie treści w usługach), jak również prowadzenie marketingu i promocji własnych usług (np. jeśli interesujesz się motoryzacją i oglądasz artykuły w biznesistyl.pl lub na innych stronach internetowych, to możemy Ci wyświetlić reklamę dotyczącą artykułu w serwisie biznesistyl.pl/automoto. Takie przetwarzanie danych to realizacja naszych prawnie uzasadnionych interesów.
• 3. Za Twoją zgodą usługi marketingowe dostarczą Ci nasi Zaufani Partnerzy oraz my dla podmiotów trzecich. Aby móc pokazać interesujące Cię reklamy (np. produktu, którego możesz potrzebować) reklamodawcy i ich przedstawiciele chcieliby mieć możliwość przetwarzania Twoich danych związanych z odwiedzanymi przez Ciebie stronami internetowymi. Udzielenie takiej zgody jest dobrowolne, nie musisz jej udzielać, nie pozbawi Cię to dostępu do naszych usług. Masz również możliwość ograniczenia zakresu lub zmiany zgody w dowolnym momencie.

Twoje dane przetwarzane będą do czasu istnienia podstawy do ich przetwarzania, czyli w przypadku udzielenia zgody do momentu jej cofnięcia, ograniczenia lub innych działań z Twojej strony ograniczających tę zgodę, w przypadku niezbędności danych do wykonania umowy, przez czas jej wykonywania i ewentualnie okres przedawnienia roszczeń z niej (zwykle nie więcej niż 3 lata, a maksymalnie 10 lat), a w przypadku, gdy podstawą przetwarzania danych jest uzasadniony interes administratora, do czasu zgłoszenia przez Ciebie skutecznego sprzeciwu.

Przekazywanie danych

Administratorzy danych mogą powierzać Twoje dane podwykonawcom IT, księgowym, agencjom marketingowym etc. Zrobią to jedynie na podstawie umowy o powierzenie przetwarzania danych zobowiązującej taki podmiot do odpowiedniego zabezpieczenia danych i niekorzystania z nich do własnych celów.

Cookies

Na naszych stronach używamy znaczników internetowych takich jak pliki np. cookie lub local storage do zbierania i przetwarzania danych osobowych w celu personalizowania treści i reklam oraz analizowania ruchu na stronach, aplikacjach i w Internecie. W ten sposób technologię tę wykorzystują również podmioty z Grupy SAGIER oraz nasi Zaufani Partnerzy, którzy także chcą dopasowywać reklamy do Twoich preferencji. Cookies to dane informatyczne zapisywane w plikach i przechowywane na Twoim urządzeniu końcowym (tj. twój komputer, tablet, smartphone itp.), które przeglądarka wysyła do serwera przy każdorazowym wejściu na stronę z tego urządzenia, podczas gdy odwiedzasz strony w Internecie. Szczegółową informację na temat plików cookie i ich funkcjonowania znajdziesz pod tym linkiem. Pod tym linkiem znajdziesz także informację o tym jak zmienić ustawienia przeglądarki, aby ograniczyć lub wyłączyć funkcjonowanie plików cookies itp. oraz jak usunąć takie pliki z Twojego urządzenia.

Twoje uprawnienia

Przysługują Ci następujące uprawnienia wobec Twoich danych i ich przetwarzania przez nas, inne podmioty z Grupy SAGIER i Zaufanych Partnerów:
1. Jeśli udzieliłeś zgody na przetwarzanie danych możesz ją w każdej chwili wycofać (cofnięcie zgody oczywiście nie uchyli zgodności z prawem przetwarzania już dokonanego na jej podstawie);
2. Masz również prawo żądania dostępu do Twoich danych osobowych, ich sprostowania, usunięcia lub ograniczenia przetwarzania, prawo do przeniesienia danych, wyrażenia sprzeciwu wobec przetwarzania danych oraz prawo do wniesienia skargi do organu nadzorczego, którym w Polsce jest Prezes Urzędu Ochrony Danych Osobowych. Pod tym adresem znajdziesz dodatkowe informacje dotyczące przetwarzania danych i Twoich uprawnień.