Reklama
REKLAMA
Automatycznie wyświetlimy artykuł za 10 sekund
Przejdź do artykułu
Reklama
Reklama

Implanty - najskuteczniejsza metoda uzupełniania braków w uzębieniu

A A A
artykuł sponsorowany

Dodano: 20-02-2014

fot. Stomatologia BIODENT

fot. Stomatologia BIODENT

GALERIA ZDJĘĆ
fot. Stomatologia BIODENT
fot. Stomatologia BIODENT
fot. Stomatologia BIODENT
fot. Stomatologia BIODENT
fot. Stomatologia BIODENT
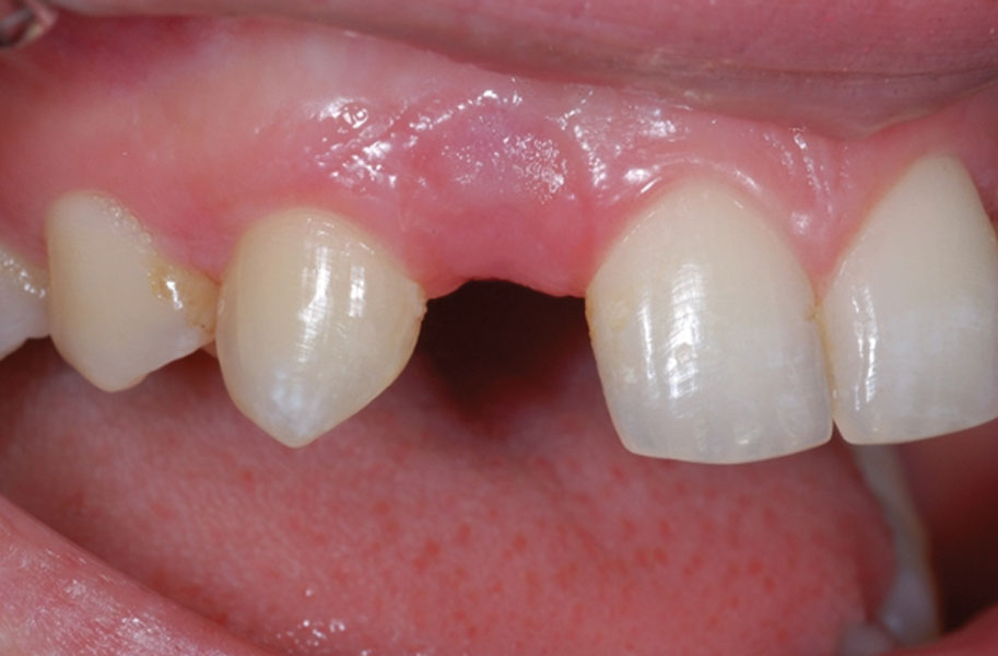
Dla sporej liczby osób utrata nawet jednego zęba wydaje się olbrzymim problemem natury estetycznej,  w wielu przypadkach zaś brak kilku zębów oznacza konieczność noszenia niewygodnych i kłopotliwych protez, których pacjenci nie akceptują. Obok estetycznego dyskomfortu, ubytki w pełnym uzębieniu to olbrzymie zachwianie w równowadze układu żucia, co w wielu przypadkach prowadzi do zbyt dużego obciążenia  istniejących zębów i po pewnym czasie do ich przeciążenia, szybszego zużycia i zniszczenia.
 
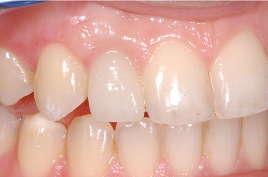
W takich przypadkach, tzn. braku pojedynczych zębów, braku kilku zębów lub wręcz całkowitym braku uzębienia, najlepszym rozwiązaniem medycznym są implanty, czyli sztuczne korzenie, na których mocujemy porcelanowe korony lub w przypadku ubytków wielu zębów – porcelanowe mosty.
 
W ciągu 14 lat  naszego doświadczenia w implantowaniu metoda uzupełniania ubytków implantami z tytanu, który jest biozgodny, czyli całkowicie akceptowalny przez organizm człowieka, jest w obecnych czasach jedyną długotrwałą i wysoce skuteczną metodą pozwalającą uzupełnić braki w uzębieniu. Z roku na rok pacjentów zainteresowanych implantami przybywa. Rośnie też skuteczność wykonywanych zabiegów implantacji. Obecnie  technika i sprzęt, którym dysponujemy – zarówno ten diagnostyczny (tomografia komputerowa na miejscu w gabinecie, interaktywny, oparty na trójwymiarowym obrazie, System Planowania Leczenia Implantologicznego 3D  – Sim Plant, a także mikroskop zabiegowy, pozwalają na dokładną diagnozę i precyzyjne wykonanie zabiegu wszczepienia implantu, ze skutecznością blisko 97%.

TO MOŻE CIĘ ZAINTRESOWAĆ

Reklama
 
Operując w środowisku jamy ustnej mamy wielokrotnie do czynienia z minimalnymi odległościami, gdzie każdy milimetr ma znaczenie. Dlatego implanty dobieramy pod kątem wielkości optymalnie dobranych dla każdego pacjenta (ich średnica wynosi od 3,0 mm do 6,0 mm i długość od 5 mm do 13 mm).
 
W procesie trwałej implantacji niezwykle ważnym elementem jest higiena jamy ustnej, która zależy już tylko od pacjenta. Ocenia się, iż przy prawidłowej higienie jamy ustnej, a także przy higienicznym trybie życia, czyli: nie paleniu, nie nadużywaniu alkoholu, jak również braku chorób, np. cukrzycy, i przy regularnych kontrolach stomatologicznych,  po 10 latach ponad 95% implantów tkwi mocno w kości. Oczywiście, warto pamiętać, iż ten zabieg, podobnie jak większość zabiegów implantologicznych, obarczony jest ryzykiem odrzucenia implantu, ten zaś zdiagnozować można już po ok. 2 tygodniach po zabiegu. W takim przypadku, po upływie koniecznego okresu gojenia się rany, wprowadzamy implant ponownie.
 
Jeżeli istnieją odpowiednio dobre warunki (ilość i jakość kości) możliwe jest osadzenie zębów na implantach bezpośrednio po ich wprowadzeniu. Zwykle jest to praca tymczasowa, którą wymienia się na uzupełnienie stałe po okresie integracji implantów z kością.
 

chir. stom. Janusz Pomianek

ul. Hetmańska 27, 35-045 Rzeszów
tel. (17) 850 45 59
 
Reklama
Reklama

POLECANE

NAJCZĘŚCIEJ CZYTANE

RZESZÓW WEATHER
Reklama

NASI PARTNERZY

zamknij

Szanowny Czytelniku !

Zanim klikniesz „Zgadzam się” lub zamkniesz to okno, prosimy o przeczytanie tej informacji. Prosimy w niej o Twoją dobrowolną zgodę na przetwarzanie Twoich danych osobowych przez naszych partnerów biznesowych oraz przekazujemy informacje o tzw. cookies i o przetwarzaniu przez nas Twoich danych osobowych. Klikając „Zgadzam się” lub zamykając okno, zgadzasz się na poniższe. Możesz też odmówić zgody lub ograniczyć jej zakres.

Zgoda

Jeśli chcesz zgodzić się na przetwarzanie przez Zaufanych Partnerów Grupy SAGIER Twoich danych osobowych, które udostępniasz w historii przeglądania stron i aplikacji internetowych, w celach marketingowych (obejmujących zautomatyzowaną analizę Twojej aktywności na stronach internetowych i w aplikacjach w celu ustalenia Twoich potencjalnych zainteresowań dla dostosowania reklamy i oferty) w tym na umieszczanie znaczników internetowych (cookies itp.) na Twoich urządzeniach i odczytywanie takich znaczników, kliknij przycisk „Przejdź do serwisu” lub zamknij to okno.
Jeśli nie chcesz wyrazić zgody, kliknij „Nie teraz”. Wyrażenie zgody jest dobrowolne. Możesz edytować zakres zgody, w tym wycofać ją całkowicie, przechodząc na naszą stronę polityki prywatności. Powyższa zgoda dotyczy przetwarzania Twoich danych osobowych w celach marketingowych Zaufanych Partnerów. Zaufani Partnerzy to firmy z obszaru e-commerce i reklamodawcy oraz działające w ich imieniu domy mediowe i podobne organizacje, z którymi Grupa SAGIER współpracuje.
Podmioty z Grupy SAGIER w ramach udostępnianych przez siebie usług internetowych przetwarzają Twoje dane we własnych celach marketingowych w oparciu o prawnie uzasadniony, wspólny interes podmiotów Grupy SAGIER. Przetwarzanie takie nie wymaga dodatkowej zgody z Twojej strony, ale możesz mu się w każdej chwili sprzeciwić. O ile nie zdecydujesz inaczej, dokonując stosownych zmian ustawień w Twojej przeglądarce, podmioty z Grupy SAGIER będą również instalować na Twoich urządzeniach pliki cookies i podobne oraz odczytywać informacje z takich plików. Bliższe informacje o cookies znajdziesz w akapicie „Cookies” pod koniec tej informacji.

Administrator danych osobowych

Administratorami Twoich danych są podmioty z Grupy SAGIER czyli podmioty z grupy kapitałowej SAGIER, w której skład wchodzą Sagier Sp. z o.o. ul. Mieszka I 48/50, 35-303 Rzeszów oraz Podmioty Zależne. Ponadto, w świetle obowiązującego prawa, administratorami Twoich danych w ramach poszczególnych Usług mogą być również Zaufani Partnerzy, w tym klienci.
PODMIOTY ZALEŻNE:
http://www.biznesistyl.pl/
http://poradnikbudowlany.eu/
http://modnieizdrowo.pl/
http://www.sagier.pl/
Jeżeli wyrazisz zgodę, o którą wyżej prosimy, administratorami Twoich danych osobowych będą także nasi Zaufani Partnerzy. Listę Zaufanych Partnerów możesz sprawdzić w każdym momencie na stronie naszej polityki prywatności i tam też zmodyfikować lub cofnąć swoje zgody.

Podstawa i cel przetwarzania

Twoje dane przetwarzamy w następujących celach:
• 1. Jeśli zawieramy z Tobą umowę o realizację danej usługi (np. usługi zapewniającej Ci możliwość zapoznania się z jednym z naszych serwisów w oparciu o treść regulaminu tego serwisu), to możemy przetwarzać Twoje dane w zakresie niezbędnym do realizacji tej umowy.
• 2. Zapewnianie bezpieczeństwa usługi (np. sprawdzenie, czy do Twojego konta nie loguje się nieuprawniona osoba), dokonanie pomiarów statystycznych, ulepszanie naszych usług i dopasowanie ich do potrzeb i wygody użytkowników (np. personalizowanie treści w usługach), jak również prowadzenie marketingu i promocji własnych usług (np. jeśli interesujesz się motoryzacją i oglądasz artykuły w biznesistyl.pl lub na innych stronach internetowych, to możemy Ci wyświetlić reklamę dotyczącą artykułu w serwisie biznesistyl.pl/automoto. Takie przetwarzanie danych to realizacja naszych prawnie uzasadnionych interesów.
• 3. Za Twoją zgodą usługi marketingowe dostarczą Ci nasi Zaufani Partnerzy oraz my dla podmiotów trzecich. Aby móc pokazać interesujące Cię reklamy (np. produktu, którego możesz potrzebować) reklamodawcy i ich przedstawiciele chcieliby mieć możliwość przetwarzania Twoich danych związanych z odwiedzanymi przez Ciebie stronami internetowymi. Udzielenie takiej zgody jest dobrowolne, nie musisz jej udzielać, nie pozbawi Cię to dostępu do naszych usług. Masz również możliwość ograniczenia zakresu lub zmiany zgody w dowolnym momencie.

Twoje dane przetwarzane będą do czasu istnienia podstawy do ich przetwarzania, czyli w przypadku udzielenia zgody do momentu jej cofnięcia, ograniczenia lub innych działań z Twojej strony ograniczających tę zgodę, w przypadku niezbędności danych do wykonania umowy, przez czas jej wykonywania i ewentualnie okres przedawnienia roszczeń z niej (zwykle nie więcej niż 3 lata, a maksymalnie 10 lat), a w przypadku, gdy podstawą przetwarzania danych jest uzasadniony interes administratora, do czasu zgłoszenia przez Ciebie skutecznego sprzeciwu.

Przekazywanie danych

Administratorzy danych mogą powierzać Twoje dane podwykonawcom IT, księgowym, agencjom marketingowym etc. Zrobią to jedynie na podstawie umowy o powierzenie przetwarzania danych zobowiązującej taki podmiot do odpowiedniego zabezpieczenia danych i niekorzystania z nich do własnych celów.

Cookies

Na naszych stronach używamy znaczników internetowych takich jak pliki np. cookie lub local storage do zbierania i przetwarzania danych osobowych w celu personalizowania treści i reklam oraz analizowania ruchu na stronach, aplikacjach i w Internecie. W ten sposób technologię tę wykorzystują również podmioty z Grupy SAGIER oraz nasi Zaufani Partnerzy, którzy także chcą dopasowywać reklamy do Twoich preferencji. Cookies to dane informatyczne zapisywane w plikach i przechowywane na Twoim urządzeniu końcowym (tj. twój komputer, tablet, smartphone itp.), które przeglądarka wysyła do serwera przy każdorazowym wejściu na stronę z tego urządzenia, podczas gdy odwiedzasz strony w Internecie. Szczegółową informację na temat plików cookie i ich funkcjonowania znajdziesz pod tym linkiem. Pod tym linkiem znajdziesz także informację o tym jak zmienić ustawienia przeglądarki, aby ograniczyć lub wyłączyć funkcjonowanie plików cookies itp. oraz jak usunąć takie pliki z Twojego urządzenia.

Twoje uprawnienia

Przysługują Ci następujące uprawnienia wobec Twoich danych i ich przetwarzania przez nas, inne podmioty z Grupy SAGIER i Zaufanych Partnerów:
1. Jeśli udzieliłeś zgody na przetwarzanie danych możesz ją w każdej chwili wycofać (cofnięcie zgody oczywiście nie uchyli zgodności z prawem przetwarzania już dokonanego na jej podstawie);
2. Masz również prawo żądania dostępu do Twoich danych osobowych, ich sprostowania, usunięcia lub ograniczenia przetwarzania, prawo do przeniesienia danych, wyrażenia sprzeciwu wobec przetwarzania danych oraz prawo do wniesienia skargi do organu nadzorczego, którym w Polsce jest Prezes Urzędu Ochrony Danych Osobowych. Pod tym adresem znajdziesz dodatkowe informacje dotyczące przetwarzania danych i Twoich uprawnień.